本文将详细介绍种植牙临时冠牙龈塑形的过程,该过程可以完美重塑您的笑容。我们将介绍种植牙的意义和好处。然后,我们将详细阐述种植牙的步骤和注意事项。接下来,我们将介绍临时冠牙的作用和种类,并对其进行详细阐述。我们将介绍牙龈塑形的过程和效果。通过本文的阅读,您将能够全面了解种植牙临时冠牙龈塑形,以及如何完美重塑您的笑容。

1、种植牙的意义和好处
种植牙是一种替换缺失牙齿的方法,具有很多好处。种植牙可以提供稳定的咀嚼功能,使您能够正常咀嚼食物。种植牙可以保持颌骨的健康,防止骨质吸收。种植牙还可以恢复您的自信和美丽笑容。

2、种植牙的步骤和注意事项
种植牙的过程包括术前评估、手术、康复期和修复期。在术前评估中,医生将评估您的口腔健康状况和骨量情况。手术过程中,医生将在牙槽骨中植入种植体,并进行缝合。康复期是为了让种植体与颌骨融合,通常需要几个月的时间。在修复期,医生将安装人工牙冠来替代缺失牙齿。在进行种植牙手术时,需要注意口腔卫生和饮食习惯,以避免感染和影响种植体的成功。

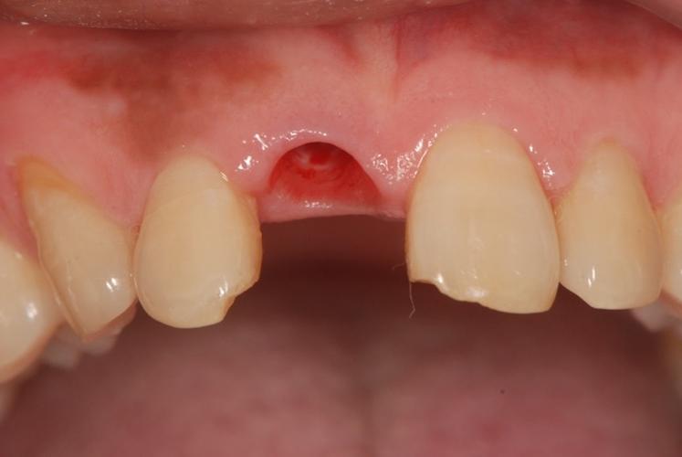
3、临时冠牙的作用和种类
临时冠牙是种植牙修复过程中的临时修复物,它的作用是保护种植体和美化患者的笑容。临时冠牙通常有临时树脂冠牙和临时陶瓷冠牙两种类型。临时树脂冠牙是一种经济实惠的临时修复物,而临时陶瓷冠牙则更加美观耐用。
4、牙龈塑形的过程和效果
牙龈塑形是一种通过手术来调整牙龈形态的方法,以达到美化笑容的效果。牙龈塑形可以改善牙龈出血、牙龈萎缩等问题,使您的笑容更加完美。牙龈塑形的过程包括牙龈整形和牙龈移植。牙龈整形通过手术调整牙龈的形态和位置,而牙龈移植则是将健康的牙龈移植到需要修复的区域。牙龈塑形的效果可以持久,并且能够提升您的自信和美丽笑容。
通过种植牙临时冠牙龈塑形的过程,您可以完美重塑您的笑容。种植牙的意义和好处包括提供稳定的咀嚼功能、保持颌骨健康和恢复自信。种植牙的步骤和注意事项包括术前评估、手术、康复期和修复期,并需要注意口腔卫生和饮食习惯。临时冠牙作为种植牙修复过程中的临时修复物,可以保护种植体和美化笑容。牙龈塑形可以通过调整牙龈形态来美化笑容,并解决牙龈问题。通过种植牙临时冠牙龈塑形,您将能够拥有完美的笑容和健康的牙齿。